Φωτογραφίες του ιού από κρούσματα της Λομβαρδίας, όπως αυτές τραβήχτηκαν από ηλεκτρονικό μικροσκόπιο, έδωσαν στη δημοσιότητα ερευνητές εργαστηρίου λοιμωδών νοσημάτων νοσοκομείου στο Μιλάνο
Τις πρώτες φωτογραφίες του κορονοϊού, από κρούσματα της Λομβαρδίας, έδωσε στη δημοσιότητα το κρατικό πανεπιστημιακό νοσοκομείο Sacco του Μιλάνου, όπως αυτές «τραβήχτηκαν» από ερευνητές του εργαστηρίoυ λοιμωδών νοσημάτων, που διαθέτει.
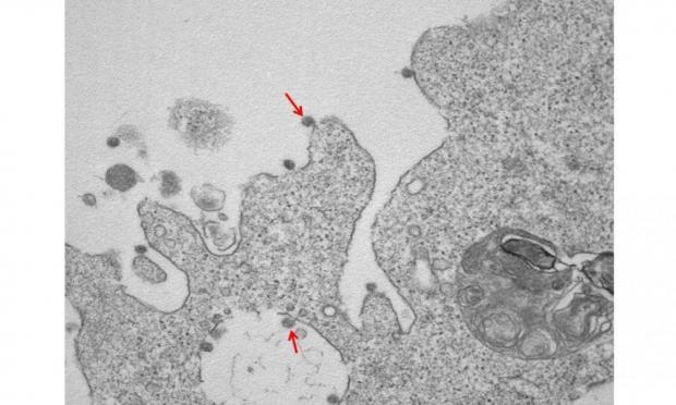
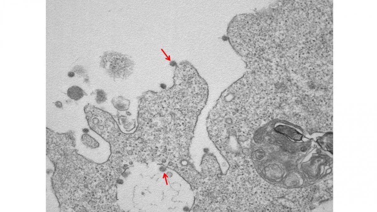
Η ομάδα ερευνητών του εργαστηρίου, σε συνεργασία με το τμήμα ανατομικής παθολογίας του νοσοκομείου, κατάφερε να απομονώσει τον ιό SARS-CoV-2 και να τον «φωτογραφίσει» μέσω ηλεκτρονικού μικροσκοπίου. Οι εικόνες που δημοσιεύτηκαν, δείχνουν τα ιικά σωματίδια που προσκολλώνται στις κυτταρικές μεμβράνες, μέσω της «κορώνας» των γλυκοπρωτεϊνών που διαθέτουν.
Συγκεκριμένα, η πρώτη φωτογραφία, που έχει μεγέθυνση 30000Χ «παρουσιάζει τα ιικά σωματίδια του Sars-CoV-2 να είναι προσαρτημένα στις επιφανειακές μεμβράνες και στο εσωτερικό κυττάρου».

Ο συνδυασμός δύο άλλων φωτογραφιών σε διαφορετικές μεγεθύνσεις (50000Χ και 140000Χ) δείχνει τα ιικά σωματίδια με την τυπική τους δομή, που χαρακτηρίζεται από την «κορώνα» γλυκοπρωτεϊνών.
